Home / Nieuws

Nieuws

De rol van zwavel in gras, melk en gezondheid

Zwavel is één van de bodemmineralen in de kringloop van plant-dier-mest-bodemleven-plant. In de jaren ’90 werd via ‘zure regen’ het zwavel in deze kringloop bijgevuld. Dat probleem is gelukkig verdwenen maar een bijkomend gevolg is dat de bodem uitgeput raakt aan zwavel.

 

Gras

Zwavel is echter onderdeel van de belangrijkste aminozuren in planten en dieren. De aanwezigheid van deze aminozuren bepaalt mede hoeveel eiwit een plant of dier kan produceren. Onderstaande figuur van Eurofins laat een lineare relatie zien tussen de zwavel index en het ruw-eiwit gehalte in gras.

 

Melk

Methionine is een voorbeeld van een zwavelhoudend aminozuur dat vaak limiterend is. Je kunt het vergelijken met een ouderwetse regenton. Het laagste plankje bepaalt hoeveel water in de ton kan.

Je kunt dan meer eiwit voeren zodat er ook meer methionine in de koe komt (rechter plaatje) maar de andere ‘plankjes’ worden ook hoger en zijn niet nuttig. Sterker: het kost de koe energie om overtollige aminozuren te verwerken. Het is dus logischer om voor voedermiddelen te kiezen die in balans zijn qua aminozuren (linker plaatje).

Onderstaande figuur laat zelfs zien dat bacteriën in de pens zorgen voor microbieel eiwit met een aminozuurpatroon dat het beste past bij de behoefte van een koe. Dit kunnen ze echter alleen doen wanneer ze ook voldoende zwavel 'gevoerd' krijgen.

Gezondheid

Het zwavelhoudende aminozuur methionine is ook essentieel bij de afgifte van vetten vanuit de lever naar het bloed. Wanneer methionine limiterend is, zal het risico op bijvoorbeeld leververvetting ook groter worden.

Voorjaar

We bespraken al dat de voorraad zwavel in de bodem steeds lager wordt en dat in de kringloop het bodemleven ervoor zorgt dat het zwavel vanuit (organische) mest weer beschikbaar komt voor de plant. Wanneer de bodem in het voorjaar nog koud is worden de plantwortels echter eerder actief dan het bodemleven. Daarom is zwavelaanvulling noodzakelijk om bijvoorbeeld een goede 1e en 2e snede gras te winnen. Dat kan door in het najaar gips te strooien (tegelijk bodemstructuur-verbeterend), of in het voorjaar kunstmest te strooien, een RENURE product te spuiten of de meststof Polysulfaat (Biologisch) te gebruiken.

Té is nooit goed

Strooi niet te veel of te lang zwavel. Een verhoogd zwavelgehalte drukt het element koper weg in plant en dier en teveel zwavel is ronduit giftig.

 

Gebruik de beschikbare gegevens vanuit bodemanalyses en kuiluitslagen om zo goed mogelijk voor te sorteren op het volgende jaar.

Want ‘als je doet wat je deed, krijg je wat je kreeg’.

Transitiemelk na de biest

Biest/colostrum

Vlug na de geboorte Veel biest geven met Voldoende antistoffen. De ‘V’-tjes zijn overbekend. Want na de geboorte gaat de darmwand van het kalfje zich sluiten en in de koe bewegen antistoffen in de uier weer terug naar het bloed. Daarom zorgt een vlotte biestverstrekking voor een goede immuniteitsopbouw bij het kalf. In schone, niet-ingevroren, biest zitten daarnaast ook nog levende afweercellen die in het lichaam van het kalfje kunnen worden opgenomen.

Transitiemelk

Hoewel na zo’n 24 uur de darmwand van het kalfje al ver gesloten is, blijf het belang van biest bestaan. In colostrum zitten namelijk niet alleen antistoffen maar bijvoorbeeld ook oligosacchariden, groeifactoren en hormonen zoals insuline. 

Deze stoffen helpen op hun eigen manier om de darm van het kalfje verder tot ontwikkeling te laten komen. Immers, hoe groter het oppervlakte van de darmvingers(villi) is, hoe beter ze voedingsstoffen kunnen absorberen. Deze stoffen zitten in de hoogste concentratie in de eerste biest en nemen in drie dagen af tot lage gehaltes in gewone melk. De melk tussen de eerste biest en gewone melk wordt daarom transitiemelk genoemd.

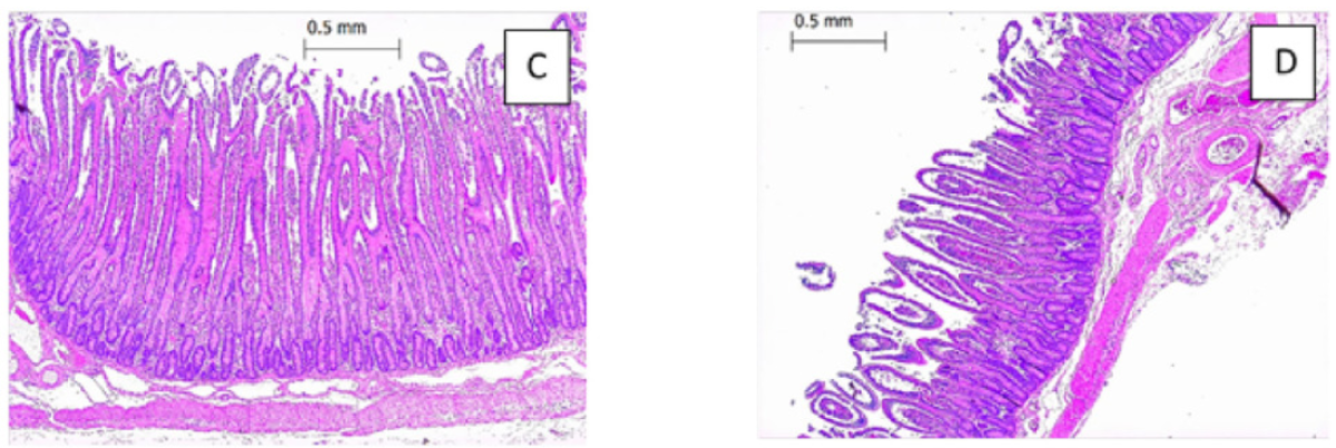
Onderstaand plaatje laat verschillen in darmontwikkeling zien. Het linkerdier kreeg na de eerste dag biest ook tot levensdag 4 transitiemelk. Het rechterdier kreeg na de biest gelijk kunstmelk. Duidelijk is te zien welke darm zich het beste heeft ontwikkeld. (Bron: Van Soest et al. (2022). J. Dairy Sci. 105:7011–7022)

Concreet

Wat is nu een goede standaard voor een gezonde ontwikkeling van het kalfje?

  • Geef 5-10% van het lichaamsgewicht aan biest <2 uur na de geboorte
  • 10-15% van het lichaamsgewicht aan colostrum totaal aan het einde van de eerste levensdag.
  • Bewaar wat er over is de van tenminste de eerste 3 melkmalen, en voer dit als transitiemelk in de volgende levensdagen.
  • Idealiter krijgt een kalf zo 5 dagen biest-achtige melk voordat wordt overgeschakeld naar kunstmelk.

Chirurgische klauwamputatie

Veel veehouders krijgen er helaas wel eens mee te maken; een koe met een ontstoken klauw die ondanks behandeling niet opknapt zodat alleen de optie van afvoer of euthanasie over lijkt te blijven. Wanneer koeien nog een gezonde klauw hebben bestaat er een laatste optie: een klauwamputatie.

 

Er zijn twee methodes: het klassieke zagen of de vrij nieuwe chirurgische methode waarmee we de afgelopen 5 jaar positieve ervaringen hebben opgedaan. Het klassieke zagen is de enige optie voor een voet waarbij ook de tussenklauw is ontstoken. Wanneer alleen de klauw afwijkend is, zoals bij een teenpuntnecrose, kan de klauw ook chirurgisch worden aangepakt.

 

De eerste stappen zijn gelijk aan het zagen: verdoven, schoonmaken en amputeren. Vervolgens wordt een huidflapje gemaakt (zie foto) waardoor de top van het hoger gelegen kootbeen ook wordt afgezaagd. Dit geeft voldoenderuimte om de wond vervolgens te sluiten met hechtingen. Het herstel gaat hierdoor veel vlugger omdat de wond direct gesloten is.

Wanneer een koe klaarstaat met haar poot in een klauwzak biotex duurt het vervolg van de ingreep zo’n 45 minuten.

Wanneer de ingreep is geslaagd kan een dier nog heel wat lactaties maken.

Bijkomend voordeel: een tussenklauwontsteking zal ze niet meer krijgen;)

Blauwtong 2025

We herinneren ons allemaal het gedoe met blauwtong in 2023 en 2024 dat leidde tot sterfte bij volwassen melkvee (donkerblauwe lijn) en in 2024 ook bij nuchtere kalveren (grijze lijn). Doordat de moeders van deze kalveren vaak te vroeg kalfden kwamen ze na het ziekteproces meestal alsnog niet op productie.

Eerder berichtten we dat we duidelijk zagen dat de bedrijven die direct hun dieren met Bultavo hadden laten vaccineren nauwelijks ziekteverschijnselen hebben gezien. Op de meeste bedrijven waar niet gevaccineerd is of waar te laat is begonnen met vaccineren was de schade aanzienlijk. Ook bedrijven die juist vroegtijdig bescherming wilden en hebben laten vaccineren met Syvazul zagen helaas teveel ziekteverschijnselen. Deze waarnemingen worden bevestigd door onderzoek uit Duitsland.Dr. Bernd Hoffmann van het 'Nationalen Referenzlabor für Blauzungenkrankheit  Deutschland' heeft de antistoffen-niveaus van gevaccineerde dieren vergeleken. Zijn conclusies:

  • 2x vaccineren met Bultavo geeft effectieve antistoffen voor meerdere maanden
  • Alleen de dieren die tenminste eenmaal Bultavo hebben gekregen lieten effectieve titers zien, de andere entstoffen bleken inferieur.

Hieruit volgt het vaccinatie-advies voor 2025
In de tabel staat links de situatie van 2024 en rechts het advies van 2025.
De basisvaccinatie bestaat uit 2 vaccinaties met 3 weken tussentijd.
Zorg dat het de laatste vaccinatie uiterlijk eind april wordt gegeven (vóór de knut vliegt).

Enkele bijkomende overwegingen

  • lijken in 2024 bijna alle dieren ziek te zijn geweest? Dan is 1x hervaccineren voldoende om de immuniteit weer te boosteren. Twijfel je hoeveel dieren in de koppel ziek zijn geweest? GD heeft een tankmelkonderzoek waarmee wordt aangegeven of er veel, gemiddeld of weinig antistoffen in de tank zitten. Onthoud: er zijn altijd dieren in een koppel die toch nog geen blauwtongbesmetting hebben doorgemaakt.
  • het advies van de farmaceut is om in 2025 2x met Bultavo te vaccineren na Syvazul in 2024. Het onderzoek van Hoffmann laat zien dat Syvazul geboosterd kan worden met Bultavo maar onzeker is of het tussenliggende tijdvak nu niet te groot is geworden voor een effectieve boostering.

Dragonhyde Dust tegen mortellaro

De ziekte van mortellaro is op bijna ieder melkveebedrijf aanwezig en moet meestal actief worden bestreden om de klauwgezondheid op orde te houden.
Wanneer daarvoor voetbaden worden ingezet wordt meestal formaline gebruikt.
De nadelen zijn iedereen bekend:

  • Gezondheidsschade van de veehouder, zeker wanneer het voetenbad naast de melkput ligt
  • Pijnlijke reacties wanneer dieren met open (mortellaro-)wonden door het voetbad lopen.

De alternatieve producten zijn vaak duur (koper- en zinkchelaten) of verboden (kopersulfaat).

Een alternatief product dat al meer dan een decennium wordt gebruikt in Amerika is nu ook in Nederland op de markt gekomen: Dragonhyde dust.
Enkele eigenschappen:

  • werking tegen mortellaro is beter dan formaline (Cornell University in 2010)
  • niet pijnlijk
  • veiligheid: irriterend bij aanraking maar verdampt niet zoals formaline
  • kosten gelijk aan kopersulfaat

Een leuke extra eigenschap is de kleur die helpt om het voetbad met de juiste frequentie uit te voeren. Na een kleine week verdwijnt de kleur en is het weer tijd voor het volgende voetenbad

Een nieuwe Excenel?

Recent is het antibioticum ‘Lexylan’ op de markt gekomen dat geen wachttijd heeft voor de melk. Veel mensen zullen terugdenken aan ‘Excenel’ dat vroeger ook een populair medicijn was omdat het ‘0 dagen wachttijd voor de melk’ had. Toch is er een groot verschil in werkingsbreedte. Hoewel Lexylan een tweede keuze antibioticum is zal de werking niet veel breder zijn dan Procapen. Voor de meeste ontstekingen zal dit effectief zijn maar voor ontstekingsprocessen waar mest bij betrokken is kan beter een ander antibioticum worden ingezet.

Omdat er nu een veelvoud aan ‘witte penicillinen’ voorhanden is hebben we de verschillende middelen qua werkingsbreedte op rij gezet in onderstaande tabel. Ook zijn de kosten voor melkderving uitgezet bij een behandeling van 5 dagen en een gemiddelde melkproductie van 25 liter per dag.

Bij een zieke koe die weinig melk geeft is Procapen altijd nog de goedkoopste behandeling. Een hoogproductieve koe waar bijvoorbeeld een ‘dikke hak’ ontwikkelt die anders (te) laat zou worden behandeld, kan op voorschrift van een dierenarts wel in aanmerking komen voor Lexylan wanneer waarschijnlijk is dat Procapen niet werkzaam zal zijn.

Benchmark kalverdiarree melkveehouders

Tijdens de boerenavond is onderstaande benchmark gepubliceerd op basis van melkveebedrijven verbonden aan DCO. De verticale lijn is de opgetelde sterfte van doodgeboren kalfjes + sterfte na de geboorte .

Het doel van deze benchmark is om inzichtelijk te maken welke doelstellingen realistisch zijn. Links in de figuur bevinden zich namelijk melkveehouderijen met een bedrijfsomvang die varieert van groot tot klein. Zo’n goed resultaat is dus te behalen onder verschillende omstandigheden.

Benieuwd welk nummer u bent in de figuur? Vraag uw dierenarts er naar!

Mastatest

We hebben geïnvesteerd in een volautomatische unit die binnen 24 uur de uitslag van een melkmonster direct digitaal verzendt. De unit kan de 7 meest voorkomende mastitisverwekkers herkennen en deze selectie wordt in het komende jaar nog uitgebreid. Daarnaast wordt automatisch ook een antibiogram afgegeven zodat binnen dezelfde 24 uur ook al duidelijk is tegen welke antibiotica de kiem gevoelig is. Verder lukt het om binnen een monster twee verschillende kiemen te herkennen maar een vervuild mengmonster uitpluizen lukt natuurlijk niet. De prijs komt overeen met de kosten voor de vroegere vetorapid test.

Uit de nascholing: Transitie en vruchtbaarheid

Over verbanden tussen transitie en vruchtbaarheid is al veel bekend. Dat dikke koeien gevoeliger zijn voor folliculaire cystes en daardoor later drachtig worden, nog meer in conditie toenemen etc., wordt op stal ook herkend.  

Recent kwamen we tijdens een nascholing nog een interessant inzicht tegen. In die studie werden de koeien verdeeld op basis van conditieverlies na afkalven. De koeien die meer dan 0,5 punt afvielen staan links in onderstaande figuur. De dieren werden geïnsemineerd op basis van een hormoonprogramma (blauwe balken) of natuurlijke tocht (rode balken).